Tẩy trắng răng Zoom Whitening – Sự kết hợp giữa năng lượng ánh sáng Laser công nghệ Zoom 2 và hoạt chất tẩy trắng răng an toàn được tổ chức FDA chứng nhận mang đến kết quả ưu việt: Răng trắng sáng bật tone chỉ sau 40 – 60 phút, không còn xỉn màu, ố vàng, kết quả ổn định dài lâu, đặc biệt là không hại men răng, không ê buốt, khó chịu. Khám phá ngay để sớm lấy lại hàm răng & nụ cười rạng rỡ.

Sự thất bại của các cách làm trắng răng thông thường.
Chắc hẳn bạn sẽ cảm thấy ngại, mất tự tin khi hàm răng kém trắng sáng bởi tình trạng ố vàng, xỉn màu, thâm đen… Để khắc phục các khuyết điểm đó bạn không ngần ngại thử qua rất nhiều cách khác nhau như:
– Sử dụng các nguyên liệu tự nhiên như cà chua, chanh, dâu tây, muối… để làm trắng răng
– Tìm mua và sử dụng các sản phẩm tẩy trắng răng: Thuốc tẩy trắng, miếng dán làm trắng răng…
– Tìm đến các kĩ thuật tẩy trắng răng như dùng máng tẩy, năng lượng ánh sáng…
– Chăm sóc răng đúng cách mỗi ngày….
Kết quả mà bạn nhận được ra sao? – Có tới trên 80% những người áp dụng các biện pháp thông thường khẳng định:
+ Màu sắc răng thay đổi không đáng kể = Hiệu quả tẩy trắng thấp hơn nữa chỉ duy trì được 1 thời gian ngắn
+ Họ đã mất rất nhiều thời gian và công sức
+ Cảm giác khó chịu, ê buốt khi áp dụng các kĩ thuật tẩy trắng trước đây là điều không tránh khỏi
+ Một số trường hợp răng ngày càng ố vàng, xỉn đen hơn do bị mất men răng
Tẩy trắng răng Zoom Whitening – đánh bật ố vàng, tự tin trắng sáng.

Tẩy trắng răng Zoom Whitening – Sự kết hợp giữa năng lượng ánh sáng Laser công nghệ Zoom 2 và hoạt chất tẩy trắng răng an toàn được tổ chức FDA chứng nhận mang đến kết quả ưu việt: Răng trắng sáng bật tone chỉ sau 40 – 60 phút, không còn xỉn màu, ố vàng, kết quả ổn định dài lâu, đặc biệt là không hại men răng, không ê buốt, khó chịu. Đây là cách làm trắng răng nhanh, hiệu quả, an toàn.
* Răng trắng sáng bật tone- nụ cười rạng rỡ
– Sử dụng hoạt chất an toàn + năng lượng Zoom2 cho kết quả cao
Sau khi thăm khám, xác định tình trạng, mức độ răng xỉn màu, ố vàng của từng khách hàng, nha sĩ sẽ thực hiện cách ly môi nướu sau đó sử dụng thuốc tẩy trắng răng thoa đều lên toàn bộ bề mặt của răng.
Thuốc tẩy trắng được nhập khẩu trực tiếp từ Hoa Kỳ, thành phần chứa các hoạt chất có tác dụng làm đứt gãy mọi liên kết giữa cặn bã, mảng bám trên răng, giải quyết các vết ố, vàng, xỉn trên răng, cải thiện màu sắc răng nhanh chóng. Sản phẩm được FDA cấp chứng nhận về mức độ an toàn, hiệu quả và được ADA khuyên dùng.
Sau 15- 20 phút, nha sĩ chiếu năng lượng ánh sáng với máy ZOOM2 của Mỹ để hoạt hóa thuốc nhanh và khuếch tán chúng rộng hơn, làm sạch mọi điểm trên 5 mặt răng và tăng sinh Flour – tiền tố giúp men răng giữ được vẻ trắng sáng, khỏe mạnh, mang lại kết quả cao.
+ Không còn tình trạng răng xỉn màu, ố vàng, màu sắc kém trắng sáng
+ Răng trắng sáng bật tone (từ 1-3 tone màu – tùy cơ địa mỗi người) so với răng trước khi tẩy trắng (theo bảng màu VITA)
+ Màu sắc răng hoàn toàn tự nhiên, cho nụ cười thêm rạng rỡ
-Bền màu theo thời gian
Khác biệt lớn với các cách tẩy trắng răng thông thường hoặc những công nghệ cũ, tẩy trắng răng Zoom Whitening mang đến kết quả như đúng mong đợi của khách hàng, đặc biệt răng giữ được vẻ trắng – sáng bền lâu theo thời gian. Thực tế chứng minh rằng, sau 1 lần tẩy trắng bạn có thể sở hữu hàm răng trắng sáng trong thời gian tối thiểu là 2-3 năm, tiết kiệm nhiều thời gian và công sức.
– Màu sắc răng sau tấy trắng tự nhiên như răng thật
Sẽ thật sai lầm nếu cho rằng răng càng trắng càng đẹp bởi khi quá trắng (mất đi lớp men răng thật) màu sắc răng trở nên kém tự nhiên. Hiểu được điều này, khi nghiên cứu công nghệ tẩy trắng Zoom Whitening các chuyên gia đã xác định được “giới hạn” làm trắng sáng phù hợp với từng nhóm đối tượng như người châu Á, châu Âu… Với người Việt, răng trắng sáng lên khoảng 3-5 tone màu là mức phù hợp, mang đến vẻ đẹp hoàn toàn tự nhiên.
*Thực hiện nhanh chóng – an toàn tuyệt đồi
-Thực hiện nhanh chóng trong khoảng 40 – 60 phút
Bạn sẽ không mất nhiều thời gian để “thay diện mạo mới” cho hàm răng khi lựa chọn tẩy trắng răng với công nghệ Zoom Whitening bởi quy trình được thực hiện hết sức đơn giản, nhẹ nhàng và nhanh chóng trong khoảng 40 – 60 phút (Tùy thuộc vào tình trạng răng thực tế của mỗi người, ví dụ răng ố vàng, xỉn màu cấp độ nặng sẽ cần nhiều thời gian chờ hoạt chất ngấm vào bên trong hơn nữa thời gian chiếu năng lượng Laser cũng nhiều hơn).
– An toàn tuyệt đối trong và sau khi thực hiện tẩy trắng răng
Không hiếm trường hợp khách hàng bị đau, khó chịu, ê buốt trong và sau quá trình tẩy trắng răng do vậy nhiều người lo ngại khi lựa chọn phương pháp cho mình. Điều này hoàn toàn không xảy ra khi bạn quyết định lựa chọn phương pháp tẩy trắng răng Zoom Whitening:
+ Hoạt chất tẩy trắng được FDA cấp chứng nhận về hiệu quả và tính an toàn ,không tác động đến ngà răng, giảm thiểu tối đa cảm giác ê buốt, khó chịu.
+ Khách hàng được cách lý môi, nướu cẩn thận trước khi thực hiện, không xảy ra hiện tượng bỏng, rát như các kĩ thuật cũ
+ Thao tác được thực hiện nhẹ nhàng, nhanh chóng
+ Năng lượng Laser đã được kiểm chứng trong nha khoa thẩm mỹ, có khả năng tác động chính xác tại vi điểm, không tổn hại răng thật.
Làm trắng răng bằng Zoom Whitening – 1 công thức, 3 tác động

* Răng trắng sáng bật tone
Đã đến lúc bạn gạt bỏ mọi e ngại về hàm răng ố, vàng, xỉn đen của mình và tự tin 100% với nụ cười rạng rỡ, răng trắng sáng tự nhiên – tất cả những điều đó được hiện thực hóa với làm trắng răng bằng Zoom Whitening.
Sự kết hợp giữa thuốc làm trắng răng thế hệ mới, chứa các hoạt chất tẩy trắng an toàn được ADA khuyên dùng và năng lượng ánh sáng Laser Zoom 2 (bước sóng lớn với khả năng tác động chính xác vào vi điểm trên bề mặt răng) giúp bạn.
– Đánh bật mảng bám, vết ố vàng trên răng
– Tình trạng răng xỉn đen “biến mất”
– Răng trắng sáng bật tone (Từ 1-3 tone) tùy cơ địa mỗi người
* Kích thích tái khoáng men răng
Đây là một điểm khác biệt cực lớn của phương pháp làm trắng răng bằng Zoom so với các cách thức thông thường hay các công nghệ tẩy trắng trước đây. Khi lớp ngoài cùng của men răng bị biến đổi trong quá trình tẩy trắng sẽ giúp khuôn hàm trắng sáng hơn song nếu quá trình tái khoáng men răng diễn ra chậm thì răng sẽ không giữ được vẻ trắng sáng, thậm chí bị nhiễm màu trở lại.
Khắc phục nhược điểm này làm trắng răng bằng Zoom kích thích tăng sinh flour, tái khoáng men răng thật nhanh chóng nhờ thành phần flour có trong hoạt chất tẩy trắng an toàn được hoạt hóa sâu, rộng với năng lượng từ công nghệ Zoom2 nhờ vậy răng trở nên chắc khỏe hơn, không bị mất hay mòn men răng, trắng sáng dài lâu.
* Nhanh chóng, đảm bảo an toàn
Có rất nhiều người cảm thấy e ngại về tính an toàn, thời gian khi tẩy trắng răng. Sự ra đời của Zoom Whitening đã gạt bỏ hoàn toàn những lo ngại đó.
Kết hợp 2 yếu tố làm trắng răng thông minh, Zoom Whitening mang đến kết quả nhanh chóng, chỉ 1h bạn có thể nhìn thấy sự thay đổi rõ rệt về màu sắc trên hàm răng của mình, tiết kiệm được rất nhiều thời gian và công sức. Quan trọng hơn, bạn chỉ mất 1h và sẽ có được kết quả tẩy trắng bền lâu theo thời gian, thông thường từ 2-3 năm, có thể lâu hơn khi chăm sóc răng đúng cách và cơ địa lành tính.
Làm trắng răng bằng Zoom Whitening còn được ưa chuộng bởi tính an toàn tuyệt đối trong và sau quá trình thực hiện. Bạn không gặp phải bất kì rủi ro, tác dụng phụ không mong muốn nào
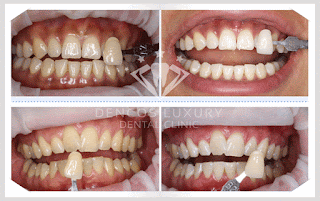
Quy trình tẩy trắng răng Zoom Whitening

Tại Nha khoa Quốc tế Dencos Luxury, quy trình tẩy trắng răng công nghệ Zoom Whiteing được thực hiện nhẹ nhàng, nhanh chóng bởi đội ngũ nha sĩ, phụ tá có kinh nghiệm theo trình tự các bước sau:
Bước 1: Bác sĩ thăm khám tổng quát và tư vấn
Bước 2: Vệ sinh miệng, cách ly môi nướu
Bước 3: Bôi (thoa) hoạt chất tẩy trắng răng
Bước 4: Chiếu năng lượng hoạt hóa thuốc tẩy trắng
Với những ưu điểm vượt trội ở trên, Zoom Whitening đã chiếm trọn niềm tin của hầu hết các trường hợp cần tẩy trắng răng. Hiện công nghệ này đã được ứng dụng thành công tại Nha khoa Quốc tế Dencos Luxury, mang đến nụ cười không thể rạng rỡ hơn cho nhiều khách hàng.
lam rang su tham my



