Tin nổi bật
Tin tức liên quan
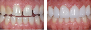
- Những tầm quan trọng có nên bọc răng sứ không? Xem ngay<<<
- Top 3 cách trị hôi miệng trong tích tắc tại nhà
- Cần tìm gấp địa chỉ bọc răng sứ đẹp tại Hà Nội? Top 5 địa chỉ nha khoa
- Đừng quên những lưu ý sau khi bọc răng sứ để có kết quả TỐT
- Chi phí bọc răng sứ phù hợp với mọi đối tượng – Cập nhật chi tiết bảng giá
- 5 tuyệt chiêu chữa khô da quanh miệng bạn nên thử ngay
- Kiến thức tổng quan từ A-Z về CẦU RĂNG & Những điều bạn nên biết
- Top 4 cách chữa bệnh hôi miệng đơn giản tại nhà
Khách hàng quan tâm
- Những tác hại của tật nghiến răng
- Sự thật bất ngờ về chụp răng sứ Venus – Làm răng sứ thẩm mỹ
- Tại sao răng bị thưa – Nguyên nhân và cách giải quyết triệt để
- Làm sao để răng hết hô? >>>> Giải pháp cho răng hô
- Làm răng sứ venus giá bao nhiêu? – Có nên làm dòng răng sứ này không?
- Nha Khoa Quốc Tế – Làm răng sứ Titan bao nhiêu tiền là đẹp?
- Bật mí cho bạn răng sứ titan tốt không và độ bền răng sứ titan
- Top những nguyên nhân bị mẻ răng bạn không nên bỏ qua
lam rang su tham my




