Tin nổi bật
Tin tức liên quan
- Cách trị hôi miệng từ thiên nhiên không tốn 1 xu
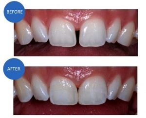
- Phương pháp phục hình răng cửa hiện đại nhất hiện nay
- Thận trọng khi mài răng để tránh tiền mất tật mang
- “New” Có nên hàn răng bị mẻ không? >>> Xem ngay
- Chia sẻ kinh nghiệm lựa chọn địa chỉ chụp răng sứ uy tín nhất
- Chi phí làm răng sứ bao nhiêu tiền là hợp lý nhất hiện nay?
- Làm răng sứ tốt không? Xem câu trả lời của chuyên gia nha khoa
- Những lầm tưởng về chụp sứ răng thưa bạn cần tránh
Khách hàng quan tâm
- Làm răng sứ hết hô không? Tư vấn bọc răng sứ thẩm mỹ
- Viêm tủy phục hồi cần điều trị ra sao?
- Những cách trị bệnh lở miệng THẦN KỲ không phải ai cũng biết
- Bật mí bí quyết ngăn ngừa sâu răng hiệu quả >>> Xem ngay kẻo muộn
- [GÓC TƯ VẤN] Có nên bọc răng sứ không? – CHUYÊN GIA trả lời
- Bọc răng sứ thẩm mỹ tốn nhiều tiền không? Bảng giá siêu chuẩn của năm
- Làm răng sứ bị hôi miệng khó chịu – Đâu là nguyên nhân
- Vì sao phải hàn răng? >>> Câu trả lời đến từ chuyên gia hàng đầu
lam rang su tham my




